Epithelioid mesothelioma accounts for 50 to 70 percent of all diagnoses. Patients with epithelioid mesothelioma tend to have the best life expectancies because more treatment options are available.
What Is Epithelioid Mesothelioma?
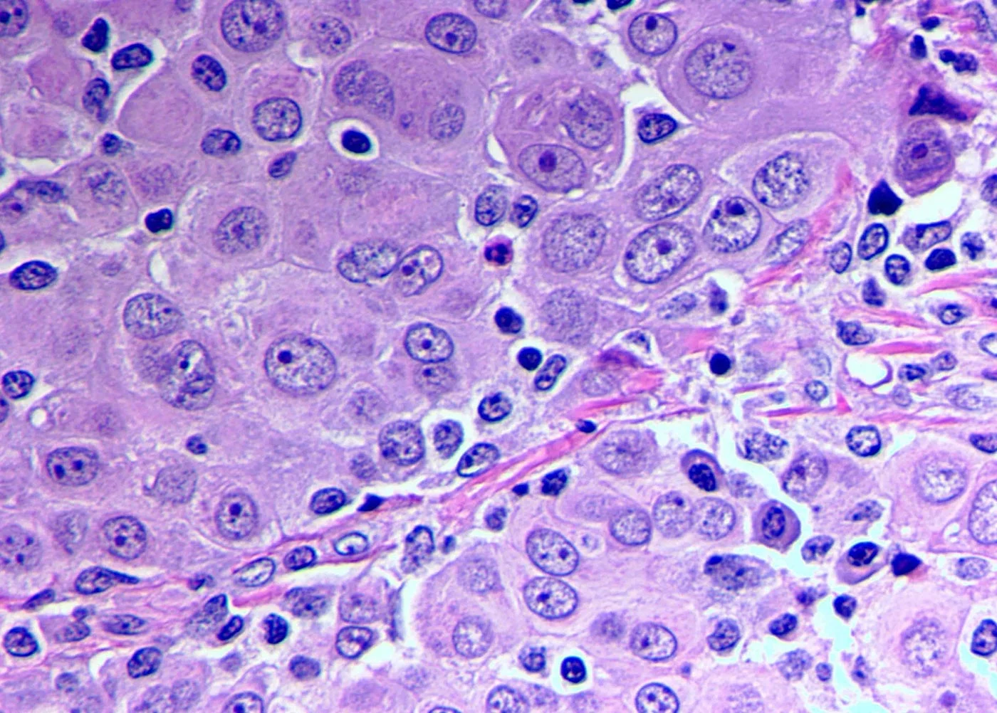
Epithelioid mesothelioma is the most common form of malignant mesothelioma. It is caused by exposure to asbestos fibers over a person’s lifetime. Healthy epithelial cells are one of four types of

tissues in the body, along with connective tissue, muscle tissue and nervous tissue. However, epithelial cells can mutate and become cancerous because of asbestos exposure.
Epithelial cells are located on the surface of the skin and linings of organs, blood vessels, and internal cavities. Depending on their location, they can be found in one or more layers. When these cells mutate, they can also be found in the lining of the lungs (pleura), abdomen, or heart. These cells come in a variety of shapes, including:
- Columnar
- Cubic
- Squamous (thin and flat)
Epithelial cells divide quickly but are slower to metastasize than other cells because they form in clusters.
Mesothelioma is often harder to treat than other types of cancers because it’s rare. That is, doctors aren’t as familiar with mesothelioma as something very common like breast cancer. Luckily for epithelioid mesothelioma patients, their diagnosis is the most common for this disease. Since epithelioid mesothelioma is the most common, specialists are most familiar with treating epithelioid patients.
Things to Know About Epithelioid Mesothelioma
More treatment options - The way epithelioid cells behave at a cellular level make them the most responsive to treatment. There are more potentially curative treatment options for epithelioid mesothelioma, including surgery, than other cell types.
Better prognosis - Epithelioid mesothelioma is the least aggressive cell type. Epithelioid cells don’t spread through the body as quickly as other cell types, so patients with this diagnosis live longer on average.
Epithelioid Characteristics and Subtypes
Epithelioid mesothelioma cells have some notable characteristics:
- They are square-shaped cells and have visible nuclei (plural for "nucleus," the center of the cell, which carries genetic material). Specialists have an easier time telling them apart from other mesothelioma cell types because of their unique appearance.
- Tumors made of epithelioid cells grow quickly. These cells replicate faster than sarcomatoid or biphasic mesothelioma tumors. However, the square shape of epithelioid cells causes them to stick together, slowing down their spread to other parts of the body.
- Epithelioid mesothelioma responds the best to treatment, because it metastasizes (spreads) slower than other cell types.
Epithelioid Subtypes
Epithelioid cells come in different shapes and sizes. Each cellular subtype responds differently to treatment. Some subtypes are more common than others, making them slightly easier to diagnose and treat.
Common epithelioid cell subtypes include:
- Tubulopapillary: The most common subtype of epithelioid mesothelioma, these cells are often well-differentiated. Tubulopapillary cells appear uniform under a microscope and usually develop in the peritoneum.
- Acinar: Forming glandular tumors, acinar cells look like a pyramid under a microscope and are extremely rare.
- Adenomatoid: These cells appear flat or cube-like under microscope. They are also known as microglandular cell type.
- Solid mesothelial cell: These cells can be either well or poorly differentiated. The well-differentiated cell type is more common.
The least common subtypes include:
- Adenoid cystic: This cell type might be benign. These cells often don’t spread to distant parts of the body.
- Clear cell: This subtype is extremely rare, with only a few documented cases. These cells are clear on the inside under a microscope.
- Deciduoid: These large cells may be round or have sharp borders.
- Small cell: They appear smaller than normal cells under a microscope and typically develop in the peritoneum. This epithelioid mesothelioma subtype is often mistaken for small cell lung cancer.
Doctors may misdiagnose these epithelioid cells as breast cancer and metastatic carcinomas because of similarities in cellular makeup.
Common Epithelioid Mesothelioma Symptoms
Epithelioid mesothelioma symptoms can take 10-50 years to develop, given a decades-long latency period between asbestos exposures and cancer development. Epithelioid cells usually indicate malignant pleural mesothelioma (cancer in the lining of the lungs) or peritoneal mesothelioma (cancer in the lining of the abdomen), but epithelioid mesothelioma may also develop around the heart or testes. Symptoms of epithelioid mesothelioma may vary between pleural and peritoneal mesothelioma:
- Abdominal pain or swelling (peritoneal)
- Chest pain or pressure (pleural)
- Coughing (pleural)
- Fluid around the lungs (pleural) or abdomen (peritoneal)
- Fatigue
- Loss of appetite
- Unexplained weight loss
Epithelioid Mesothelioma Diagnosis
A mesothelioma diagnosis generally begins with an X-ray, CT scan, or MRI. These tests help your oncologist understand the metastasis of the disease and better define prognosis. Patients may undergo multiple biopsies to determine if their mesothelioma tumors are made up entirely of epithelioid cells. Tumors with both sarcomatoid and epithelioid cells are called biphasic tumors.
Blood tests for mesothelioma check for specific biomarkers, or proteins linked to the cancer. There is currently only one approved mesothelioma blood test. Blood tests are often used alongside biopsies to confirm diagnosis of epithelioid mesothelioma, but are rarely considered diagnostic alone.
Determining a patient's mesothelioma specific cell type is incredibly important because it helps doctors recommend the best course of treatment.
After taking a biopsy sample of the diseased tissue, they send the sample to a pathologist for review.
General oncologists and surgeons can make a clinical diagnosis based on a patient's symptoms while pathologists can confirm the diagnosis and cell type or subtypes. Pathologists study tissue samples under a microscope, looking for the defining characteristics of the cancerous cells. Sensitivity has to do with the ability of a test to determine if a patient has a disease. Specificity has to do with the ability of a test to determine the difference between certain diseases.
Pathologists sometimes misdiagnose epithelioid mesothelioma as something else because epithelioid cells have similar characteristics to other types of cancer cells, such as adenocarcinoma.
Immunohistochemistry for Diagnosis
Good pathologists use a thorough immunohistochemistry process to help prevent a misdiagnosis. Your pathologist will use staining techniques that use proteins called antibodies to test for antigens (markers) on the cells. The antibodies will bind to antigens found only on epithelioid cells. This method helps your pathologist identify the tumor’s cell type.
There are 4 main markers used to distinguish epithelioid mesothelioma from other types of cancer:
- Calretinin: Calretinin is a calcium-binding protein used to distinguish epithelioid mesothelioma from adenocarcinoma.
- Cytokeratin 5-6: Researchers use cytokeratin 5-6 to distinguish epithelioid mesothelioma from pulmonary adenocarcinoma.
- Wilms Tumor 1 Susceptibility Gene (WT1): WT1 is a gene that helps distinguish epithelioid mesothelioma cells from adenocarcinoma cells.
- D2-40 (podoplanin): D2-40 is a glycoprotein that shows an increased presence in many cancers, including epithelioid mesothelioma. Specialists use it as a marker to distinguish epithelioid mesothelioma from lung adenocarcinoma. It has also been found useful in distinguishing epithelioid mesothelioma and squamous cell carcinoma.
Pathologists may also misdiagnose the severity of mesothelioma. You may consider seeking a second opinion, which can offer a different prognosis than initially diagnosed.
Discover How You Can Beat The Odds
Get your free mesothelioma guide and learn about your treatment options.
Get My Free GuideEpithelioid Mesothelioma Treatment Options
Epithelioid mesothelioma responds to treatment better than sarcomatoid or biphasic mesothelioma. It is less aggressive and metastasizes more slowly than other cell types. This means surgery is more effective for epithelioid patients because their cancer cells do not spread as quickly. Depending on the stage of a patient’s cancer, there are aggressive courses of treatment that may improve a patient’s prognosis.
Surgery
Patients diagnosed with epithelioid mesothelioma may be eligible for one of the following surgical treatment options.
Extrapleural Pneumonectomy (EPP): An extrapleural pneumonectomy is the most aggressive surgery available for a patient diagnosed with epithelioid type pleural mesothelioma. This procedure involves the removal of the entire diseased lung and protective lining of the lung (pleura). If the cancer has spread beyond the lung, the pericardium (lining of the heart), diaphragm, and nearby lymph nodes may also be removed.
Pleurectomy with Decortication (P/D): A P/D involves the removal of the pleura (pleurectomy) and the surface layer of the lung affected by cancer (decortication). If the cancer has spread, the diaphragm and pericardium may be removed as well. About 90% of pleural mesothelioma patients who have this surgery experience a reduction of their symptoms. The median survival rate for patients after a P/D is 20 months—a year longer than the median survival rate for mesothelioma patients as a whole.
Chemotherapy
In the case of epithelioid mesothelioma, chemotherapy is done intravenously, and patients will typically require multiple rounds to slow metastasis. Some common chemotherapy drugs used to treat malignant pleural mesothelioma include:
- Carboplatin Carboplatin is in a class of medications that stop or slow the division of cancer cells in the body. Carboplatin is often prescribed in combination with pemetrexed.
- Cisplatin Cisplatin is in the same class of medications as Carboplatin and works similarly on cancer cells. It is also often combined with pemetrexed to treat pleural or peritoneal mesothelioma.
- Pemetrexed. Pemetrexed is used to treat malignant pleural mesothelioma. It is in a class of medications called antifolate antineoplastic agents, and it works by blocking the action of a substance in the body that may help cancer cells multiply. This drug is also used to treat small cell lung cancer.
- Gemcitabine Gemcitabine may be used to treat cancer that has spread to other parts of the body and cannot be treated with surgery. Gemcitabine is an antimetabolite, and it works by blocking the growth of cancer cells in the body. It can be combined with other chemotherapy medications.
Your oncologist may recommend chemotherapy prior to surgery, in order to potentially shrink tumors and increase the likelihood of the surgeon being able to remove all cancerous tissue. Your oncologist may also recommend chemotherapy after surgery to improve outcomes. Chemotherapy may also be used as palliative care to shrink or arrest tumors.
Radiation Therapy
Radiation therapy uses high doses of radiation to treat mesothelioma by destroying cancerous epithelioid cells. This radiation damages targeted cells, which hinders growth and helps to shrink tumors. Radiation therapy is most effective against localized tumors and, as a result, is most impactful during early-stage epithelioid mesothelioma. As mesothelioma progresses, it spreads along the lining of organs and no longer provides a defined target for radiation therapy. Radiation may also be used for patients who are not candidates for surgery, or as a palliative treatment to shrink tumors. Radiation therapy can improve life expectancy by as much as 40%.
Multimodal Therapy
Multimodal therapy is the combination of two or more treatment options, including surgery, chemotherapy, immunotherapy, and radiation therapy. Overall, using more than one treatment has improved the life expectancy of patients with mesothelioma in any area of the body. Your oncologist will work with you to determine the best treatment plan to improve your prognosis.
According to a few recent studies, pleural mesothelioma patients who had a multimodal therapy combining pleurectomy with decortication, chemotherapy, and radiation therapy resulted in a survival rate of 30 months.
Cytoreduction with HIPEC is also a form of multimodal treatment used to treat malignant peritoneal mesothelioma. It’s a combination of surgery to remove tumors and other cancerous tissue in the abdomen and heated chemotherapy applied directly to the abdominal cavity which kills microscopic cancer cells before the procedure is completed. HIPEC has significantly improved the prognosis and life expectancy for many people with peritoneal mesothelioma.
Emerging Treatments
Clinical trials give mesothelioma patients access to emerging treatments. Some therapies are still in clinical trials while others have received FDA approval. The effectiveness of these treatments varies based on the histology of the tumor. Researchers are studying gene therapy, cryotherapy, and immunotherapy to treat mesothelioma.
A landmark clinical study called Checkmate 743 compared immunotherapy with chemotherapy in treating pleural mesothelioma. With immunotherapy, patients with epithelioid pleural mesothelioma could achieve a three year survival rate notably higher than with chemotherapy but with generally fewer side effects. Immunotherapy is used to stimulate the immune system to fight cancer on its own. In particular, the combination of two immunotherapy drugs, Opdivo® (nivolumab) and Yervoy® (ipilimumab) have been shown to improve survival rates by 50%. These two drugs are an FDA-approved treatment for malignant pleural mesothelioma, and work together to identify and target cancer cells in the body. These treatments are now standard options for advanced stages of mesothelioma.
Epithelioid Mesothelioma Prognosis, Survival Rate, and Life Expectancy
Patients diagnosed with epithelioid mesothelioma receive a more favorable prognosis than those with sarcomatoid or biphasic mesothelioma. The median survival rate for an epithelioid mesothelioma patient is 12 to 24 months, compared with 12 months for biphasic patients and 6 months for sarcomatoid patients.
Prognosis depends on the type of mesothelioma, stage, age, gender, and a patient’s overall health. Life expectancy increases if cancer is found in earlier stages. Additionally, younger patients, female patients, and those in good overall health tend to have a longer life expectancy.
Treatment also plays an important role in increasing life expectancy. Patients should speak with their doctors about treatment options, including clinical trials and emerging therapies, that can help extend life. In particular, immunotherapy can improve survival rates over chemotherapy and often with fewer side effects for patients.
Epithelioid Mesothelioma FAQs
Is epithelioid a specific type of mesothelioma?
Yes. Epithelioid mesothelioma, also known as epithelial mesothelioma, describes a type of malignant pleural mesothelioma or malignant peritoneal mesothelioma where tumors are made up of only epithelioid cells. This type of mesothelioma is different from sarcomatoid or biphasic mesothelioma, which both include sarcomatoid cells. About 50 to 70% of mesothelioma cases are epithelioid mesothelioma.
What is the life expectancy of a person with epithelioid mesothelioma?
Patients diagnosed with epithelioid mesothelioma have a life expectancy of about 12 to 24 months, depending on treatment.
How does cell type affect treatment and prognosis?
Epithelioid cells are generally more responsive to treatment than sarcomatoid cells. As a result, patients with epithelioid mesothelioma have a better prognosis than patients with sarcomatoid mesothelioma, or even biphasic mesothelioma which partially contains epithelioid cells.
How do I get help with an epithelioid mesothelioma diagnosis?
To learn more about mesothelioma, find a mesothelioma specialist (oncologist), or find information on cancer treatment, contact Mesothelioma Group at (800) 333-8975.
- Sources
-
Guidelines for Pathologic Diagnosis of Malignant Mesothelioma: A Consensus Statement from the International Mesothelioma Interest Group. (2009). Archives of Pathology and Laboratory Medicine, 133(8). Retrieved on June 4, 2014 from: http://www.archivesofpathology.org/doi/abs/10.1043/1543-2165-133.8.1317
-
Immunohistochemical Diagnosis of Epithelioid Mesothelioma: An Update. Archives of Pathology & Laboratory Medicine: November 2005, Vol. 129, No. 11, pp. 1407-1414. Retrieved on June 4, 2014 from: http://www.archivesofpathology.org/doi/full/10.1043/1543-2165(2005)129[1407:IDOEMA]2.0.CO;2
-
Attanoos, R. L., & Allen, T. C. (2014). WHO Classification. Advances in surgical pathology. Philadelphia: Wolters Kluwer Health/Lippincott Williams & Wilkins.
-